به نقل از آناتولی، این آژانس دولتی در بیانیهای اعلام کرد: دادهها نشان میدهد که این عفونت باکتریایی هوابُرد (بیماریهای ناشی از عوامل بیماریزایی که میتوانند توسط ذرات ریز از طریق هوا و مکان منتقل شوند) در ۲۴۰۸ بیمار در نیمه اول سال جاری میلادی شناسایی شده است.
این گزارش میگوید که اگرچه انگلیس در مجموع موارد کمی از ابتلا به سل را ثبت میکند اما این بیماری همچنان بر تعداد زیادی از مردم آن تأثیر میگذارد.
«استر رابینسون»، رئیس واحد سل در آژانس امنیت بهداشتی انگلیس در این باره گفت: سل قابل درمان و قابل پیشگیری است اما به رغم پیشرفت چشمگیر در جهت حذف آن در سالهای اخیر، این بیماری همچنان یک مشکل جدی بهداشت عمومی در انگلیس است.
وی همچنین افزود: با درمان، اکثر افراد بهبودی کامل خواهند داشت. بسیار مهم است کسانی که علائم مربوطه به این بیماری را دارند، آزمایش دهند و درمان مناسب به سرعت شروع شود. این کار هم برای فرد و هم برای پیشگیری از انتقال بیماری به دیگران مفید خواهد بود.
او اظهار کرد: همانطور که وارد زمستان می شویم، مهم است به یاد داشته باشیم که هر سرفه مداوم همراه با تب ناشی از آنفلوآنزا یا کووید۱۹ نیست.
رابینسون گفت: سرفهای که معمولاً دارای مخاط است و بیش از سه هفته طول میکشد، میتواند ناشی از طیف وسیعی از مسائل دیگر از جمله سل باشد.
بیماری سل یکی از ۱۰ عامل اصلی مرگ و میر در جهان محسوب میشود و بنابر گزارش سازمان جهانی بهداشت (WHO) در سال ۲۰۲۱ میلادی یک میلیون و ۶۰۰ هزار نفر در جهان در نتیجه ابتلا به این بیماری جان خود را از دست دادهاند.
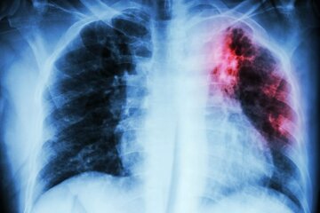
سل یک بیماری عفونی شایع و در بسیاری از موارد مرگبار است. این بیماری توسط گونههای مختلف مایکوباکتریا و به طور معمول «مایکوباکتریوم توبرکلوزیس» ایجاد میشود.
علائم کلاسیک عفونت سل فعال عبارت از سرفه مزمن با خلط آغشته به خون، تب، تعریق شبانه و کاهش وزن هستند.
۴۷۲۳۲





نظر شما