به گزارش خبرگزاری خبرآنلاین و براساس گزارش زومیت، چند روز پیش، مقالهای پژوهشی از محققان ایرانی درمورد تاثیر «شگفتانگیز» عسل آویشن ایرانی در جلوگیری از بیماری آلزایمر حسابی در شبکههای اجتماعی خبرساز شد. گروهی از محققان دانشگاههای بابل و تربیت مدرس با همراهی مؤسسهی ماکس پلانک در آلمان، نتایج پژوهش خود در مورد تأثیر مصرف عسل ایرانی بر بهبود حافظه و جلوگیری از بیماری آلزایمر را در تاریخ ۲۳ تیر ۱۴۰۱ در مجلهی Neuroscience Letters با ضریب تأثیر ۳٫۱۹ منتشر کردند. این پژوهش روی تعدادی موش انجام شده بود.
اما اگر محققی علاقهمند به این پژوهش، برای دانلود مقاله به سایت Science Direct سری بزند، با پیامی عجیب روبهرو میشود: This article has been retracted. این پیام چه معنایی دارد؟ این پیام به معنای آن است که مقالهی منتشرشده به دلیل وجود مشکلات و تناقض در نتایج ارائهشده قابل اعتماد نیست و به اصطلاح عامیانه، پس گرفته شده است.

اما ماجرا چیست؟ چرا این مقاله پس از انتشار در این مجلهی معتبر با چنین رسوایی بزرگی مواجه و حذف شد؟ در ادامه، دلیل حذف این مقاله را بررسی میکنیم. سپس، مراحل داوری مقالههای علمی در مجلههای بینالمللی را شرح میدهیم.
چرا مقالهی عسل ایرانی از مجله Neuroscience Letters حذف شد؟
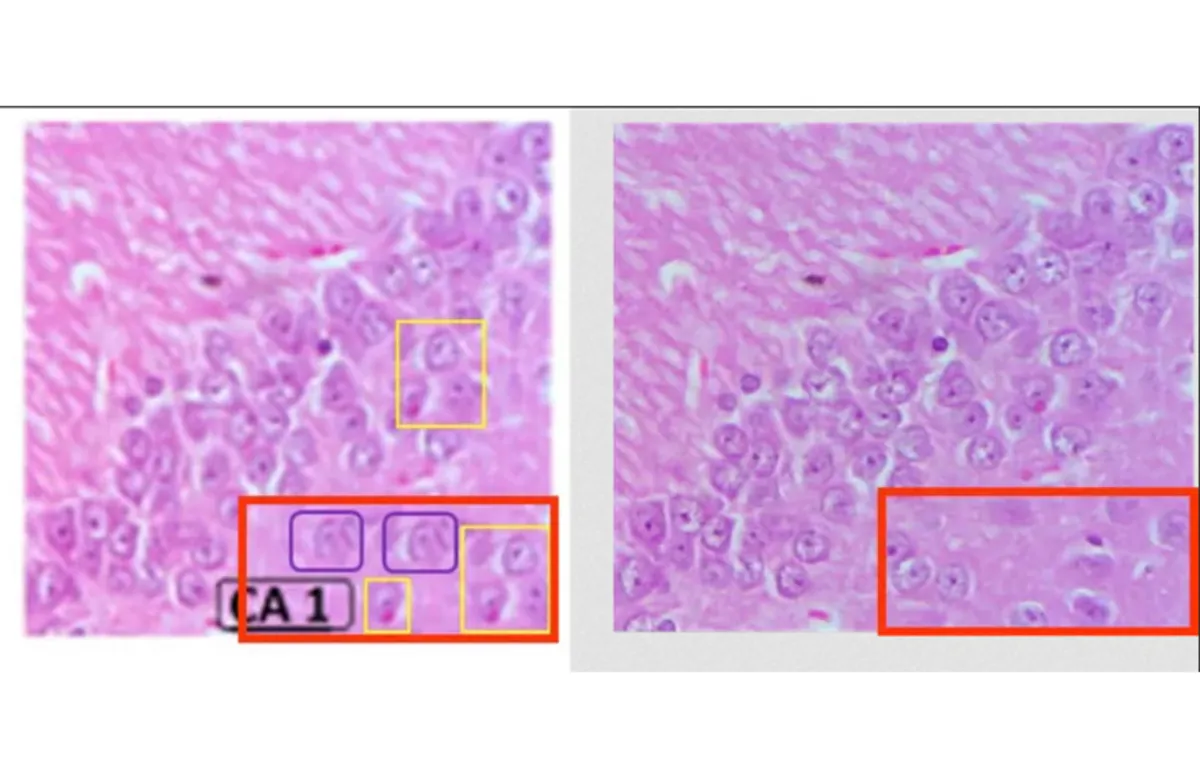
ماجرا از عکسهای میکروسکوپی بافت مغز موش شروع شد. پژوهشگران مقاله برای اثبات ادعای خود و تأثیر «شگفتانگیز» عسل بر کاهش پلاکهای آمیلوئید و تجمع پروتئین تاو در مغز از تعدادی عکسهای میکروسکوپی گرفتهشده از بافت مغز موشها استفاده کردند. در این عکسها، بافت مغز موشها قبل و پس از مصرف عسل مقایسه شده است. اما چند ماه پس از چاپ مقاله در مجله Neuroscience Letters، شخصی پیامی مبنی بر وجود بخشهای تکراری در عکسهای میکروسکوپی منتشر کرد. همانطور که در تصویر زیر مشاهده میکنید، بخشهای تکراری با کادرهای رنگی نشان داده شدهاند.

عکاس: تصویر از سایت PubPeer
نویسندهی اول مقاله در پاسخ به این پیام ادعا کرد:
- تصاویر کاملاً واقعی هستند.
- این تصاویر با دوربین گوشی Nokia N۷۰ از روی میکروسکوپ گرفته شدهاند.
- اسلایدهای مربوط به تصاویر واقعی موجود هستند.
- به هنگام بررسی میکروسکوپی بافت، ممکن است تصاویر مصنوعی مختلفی ایجاد شوند که اتفاق عجیبی نیست.
- شباهت برخی سلولها به یکدیگر طبیعی است، زیرا آنها به خط سلولی هیپوکامپ (بخشی از مغز) تعلق دارند. بنابراین، بهطور طبیعی تحت استرس اکسیداتیو (آسیب سلولی) قرار میگیرند.
- بافت مغز رگهای خونی کوچک بسیار زیادی دارد که در بالا یا پایین تصویر دیده میشوند و جای نگرانی ندارد.
نویسندهی دوم نیز نظرات مطرحشده توسط همکار خود را تأیید کرد. در ادامه، نویسندهی اول به نکتهای در رابطه با شمارش سلولها اشاره کرد. طبق ادعای نویسنده، آنها برای شمارش سلولها از نرمافزاری به نام Image J استفاده کردند و پس از شمارش، وضوح تصاویر میکروسکوپی را با این نرمافزار افزایش دادند. از اینرو، برخی تصاویر ناخواسته تکرار شدهاند. این نویسنده بار دیگر تأکید کرد که این اتفاق بهصورت کاملاً سهوی رخ داده است و تصاویر واقعی برای اثبات، وجود دارند.
یکی از منتقدان در پاسخ به ادعای نویسنده مبنیبر علت تکراری شدن تصاویر، توضیح او را غیرقابل باور دانست. این منتقد در پاسخِ خود عنوان کرد که هر زیستشناسی باید بداند که ساختارهای بیولوژیکی نمیتوانند صددرصد یکسان باشند. او با اشاره به کادرهای رنگی در تصویر بالا، عنوان کرد که ساختارهای نشان دادهشده در این کادرها بهطور کامل و پیکسلبهپیکسل یکسان هستند. از اینرو، او با رد ادعای نویسنده، تصاویر میکروسکوپی از بافت مغز موش را دستکاریشده با نرمافزار دانست.
در ادامهی بحث بر سر واقعی یا غیرواقعی بودن تصاویر میکروسکوپی، منتقد دیگری تصویر بزرگشده و واضحتری را نشان داد. در تصویر زیر بهطور واضح میتوانید ساختارهای یکسان را مشاهده کنید.

عکاس: تصویر از سایت PubPeer
در ادامهی پیامهای ردوبدلشده بین نویسندههای مقاله و منتقدان، نویسندهی اول با دریافت ایمیل از یکی از منتقدان، عکسهای اصلی را برای او فرستاد. مقایسهی یکی از تصویرهای اصلیِ میکروسکوپی از بافت مغز موش با تصویر منتشرشده تفاوتهایی را نشان میدهد. این تفاوتها را در پایین دو تصویر، سمت راست میتوانید مشاهده کنید (با رنگ قرمز نشان داده شده است). منتقد به این نتیجه رسید که تصویر منتشرشده در مقاله، ویرایش شده است.

عکاس: تصویر از سایت PubPeer
نویسندگان تأکید کردند که تکنیسین آزمایشگاه بهطور عمدی یا غیرعمدی، به هنگام برچسبگذاری تصاویر با استفاده از نرمافزاری غیراستاندارد و استفاده از گزینهای به نام mirror، قسمتی از سلولهای یک بخش را مانند آینه به قسمت دیگر منعکس کرده است. آنها همچنین ادعا داشتند که سردبیر مجله به دلیل نداشتن تخصص در زمینهی هیستولوژی یا پاتولوژی نتوانسته تفاوت تصاویر اصلی و تصاویر منتشرشده را تشخیص دهد.
بااینحال، مقاله در اردیبهشت ۱۴۰۳ به درخواست سردبیر مجله و به دلیل ناتوانی نویسندگان از ارائهی پاسخ قانعکننده، پس گرفته و از مجله حذف شد. نویسندگان با بیان اینکه همکاری لازم را با سردبیر داشتهاند و تصاویر اصلی را برای او فرستادهاند، از مجله به مدیرعامل Elsevier شکایت کردند.
نویسندهی اول در واکنش به حذف مقاله اینطور نوشت که معاونت تحقیقات و فناوری دانشگاه آزاد اسلامی واحد بابل این مقالهی علمی را از نظر اخلاقی تأیید کرده و تمام هزینهها و بودجهی تحقیقاتی را به پژوهشگران اختصاص داده بود. او همچنین ادعا کرد بهخاطر نکتههای علمی و پژوهشی مطرحشده در مقاله، ایمیلهای قدردانی بسیاری را از پژوهشگران برجستهی جهان دریافت کرده است.
یکی از منتقدان پس از خواندن پاسخ نویسنده اول و طرح شکایت، حذف مقاله از مجله را کاری دور از انتظار ندانست، زیرا دستکاری کردن هر نوع اطلاعات علمی و انتشار آن به معنای انحراف مسیر تحقیقاتی پژوهشگران دیگر است.
در پایان، نویسنده اول ایمیلی حاوی تصاویر اصلی به همراه تصاویر منتشر شده برای یکی از منتقدان فرستاد و از او خواست این تصاویر را در سایت PubPeer بارگذاری کند. منتقد نیز متن ایمیل فرستادهشده به همراه تصاویر را در این سایت قرار داد. نویسندگان در این ایمیل از منتقد PubPeer درخواست کمک کردند تا به مجله ثابت کند در روند اصلاح تصاویر همکاری کردهاند و حذف مقاله اشتباه بوده است. نویسندگان همچنین بار دیگر بر این نکته تاکید کردند که تکنسین آزمایشگاه تصاویر را دستکاری کرده است؛ ادعایی که در دنیای علم خریداری ندارد.
نویسندگان مقاله تکنیسینی ناشناس را مسئول دستکاری عکسها معرفی کردند
حذف مقالهی پژوهشگرانِ یک کشور پس از پذیرش ممکن است تبعاتی برای دیگر پژوهشگران آن کشور به دنبال داشته باشد. در این ماجرا تر و خشک با یکدیگر میسوزند و روند پذیرش مقالههای دیگر سختتر خواهد شد. در ادامه، روند بررسی مقاله در ژورنالهای بینالمللی و دلایل مختلف برای حذف مقالهها از مجلات را بررسی میکنیم و آماری از تعداد مقالههای حذفشده در کشورهای مختلف ارائه میدهیم.
هر پژوهشگری دوست دارد نتایج بهدست آمده از پژوهش خود را در معتبرترین مجلات بینالمللی منتشر کند. اما انتشار مقاله در مجلهای معتبر پایان راه نیست، بلکه ارجاع به مقالهی منتشر شده و نتایج بهدست آمده در مقاله، به آن اعتبار بیشتری میبخشد. هر پژوهشگری برای موفق بودن ابتدا باید عادتهای مثبتی را در خود تقویت و برخی عادتهای منفی را از خود دور کند.
مهمترین ویژگیها و مشخصههای پژوهشگر موفق
مهمترین ویژگیهای پژوهشگر موفق عبارتاند از:
- شفافیت: هر پژوهشگری در اولین گام باید هدفها و خواستههایش را بشناسد. برنامهریزی کمک بزرگی در این مرحله به حساب میآید.
- تمرکز: هر پژوهشگر موفق تنها به هدف اصلی و نتیجهای که میخواهد در انتهای پژوهش بهدست آورد، فکر میکند. انتشار مقاله در مجلههای معتبر بینالمللی یکی از هدفهای مهم هر پژوهشگر است.
- زمان: هر پژوهشگری باید به این نکته توجه داشته باشد که زمانِ بین طرح ایده و اجرا بسیار کوتاه است. پژوهشگران موفق به محض یافتن ایدهای جالب و جدید، فرصت را از دست نمیدهند و از ابتدا تا انتهای پژوهش را برنامهریزی میکنند.
- افزایش دانش و انتخاب روشهای پژوهشی نوین: پژوهشگران موفق بهجای تکرار پژوهش، بهدنبال انجام پژوهشهای جدیدتر هستند.
- انعطافپذیر و مُصر: مقالهها یا طرحهای پیشنهادی ممکن است در نخستین گامها مورد پذیرش قرار نگیرند. بنابراین، پژوهشگرِ موفق نباید تسلیم شود.
- تفکر بلندمدت: هر پژوهشگر باید به افقهای دوردست نگاه کند و نباید هدف خود را تنها به انتشار مقاله محدود کند. فراموش نکنید اگر هدف، تنها انتشار مقاله باشد، بهزودی کیفیت پژوهش فدای کمیت میشود.
طی کردن مسیر با گامهای کوچک، آهسته و پیوسته، بهتر از برداشتن گامی بزرگ است
هر پژوهشگر در رشته تخصصی خود باید جدیدترین مقالهها را مطالعه کند و دانش خود را بهروز نگه دارد. به هنگام پژوهش نباید از اشتباه و خطا بترسید. آزمون و خطا برای یافتن بهترین راه لازم است. هر نتیجهی جدید را تحلیل و برای این کار از روشهای مختلف استفاده کنید. همچنین، به این نکته توجه داشته باشید که طی کردن مسیر با گامهای کوچک، آهسته و پیوسته، بهتر از برداشتن گامی بزرگ است.
چگونه مقالهی پژوهشی بنویسیم؟
پس از مدتها تلاش و بهدست آوردن نتایج قابل قبول، اکنون میخواهید این نتایج را با دیگران به اشتراک بگذارید. شرکت در کنفرانس و نوشتن مقاله و ارسال آن به مجلههای معتبر بینالمللی از بهترین روشها برای به اشتراک گذاشتن نتایج علمی است.
از آنجا که بحث اصلی ما انتشار مقالهی علمی است، در این بخش مراحل نوشتن مقالهی علمی معتبر و قابل استناد را با یکدیگر مرور میکنیم.
فرض کنید میخواهید مقالهای ۱۵ صفحهای بنویسید. پس از برنامهریزی، عنوان مناسبی را برای مقالهی خود انتخاب کنید. عنوان مقاله باید به گونهای انتخاب شود که خواننده با موضوع کلی مقاله بهطور کامل آشنا شود. همچنین، عنوان باید در عین جذابیت، بار احساسی نداشته باشد. به این نکته توجه داشته باشید که عنوان ممکن است پس از نوشتن مقاله، تغییر کند. اجازه دهید برای نمونه، عنوان انگلیسی مقالهی «تأثیر مصرف عسل آویشن ایرانی بر بهبود آلزایمر» را بررسی کنیم.
از ایرادات گرامری عنوان انگلیسی که بگذریم، نویسندگان از دو کلمهی Amazing (شگفتانگیز) و Important (مهم) استفاده کردهاند که نظر شخصی نویسنده را در رابطه با تأثیر عسل بر بیماری آلزایمر بیان میکند؛ این در حالی است که وظیفهی هر پژوهشگر به هنگام نوشتن مقالهی پژوهشی آن است که تنها نتایج علمی بهدستآمده را مطرح کند و از بیان نظرات شخصی بپرهیزد. در نتیجه، عنوان انتخابی برای مقاله باید در عین خلاصه بودن، کلیت مقاله را به خواننده نشان دهد و در آن از کلمات احساسی استفاده نشود.
نویسنده در نوشتن عنوان مقاله نباید از کلمات احساسی استفاده کند
پس از انتخابِ عنوان مناسب، باید بدانید چه بخشهایی را میخواهید در مقاله قرار دهید. در حالت کلی هر مقالهی پژوهشی از بخشهای اصلی زیر تشکیل شده است:
- مقدمه: مقدمه باید جذاب باشد، بهگونهای که خواننده به خواندن ادامهی مقاله ترغیب شود. خواننده پس از خواندن مقدمه با پژوهشهای انجام شدهی مشابه آشنا میشود. پس از مرور پژوهشهای دیگران به پرسشی که میخواهید به آن پاسخ دهید، بپردازید و مراحل پژوهش خود از ابتدا تا انتها را به صورت خلاصه بیان کنید.
- روش تحقیق: در این بخش، باید روشهایی را که برای انجام پژوهش دنبال کردهاید با جزئیات بنویسید. به عنوان مثال، اگر آزمایشی را شبیهسازی کردید، باید روش شبیهسازی و نرمافزارهای استفاده شده به همراه مشخصات آنها را بیان کنید.
- نتایج: پس از بیان روش تحقیق، نتایج بهدستآمده به همراه تصاویر نوشته میشوند. آمادهسازی تصاویر بسیار مهم است. به این نکته توجه داشته باشید که استفاده از نرمافزار فتوشاپ و تغییر تصاویر، خط قرمزِ مجلهها است.
- بحث در رابطه با نتایج: تحلیل نتایج ارائهشده در مقاله از اهمیت بالایی برخوردار است. تحلیل دادهها باید کاملاً مستند باشند.
- نتیجهگیری و خلاصه: پس از نوشتن مقاله، باید نتیجهگیری کلی در پایان مقاله و خلاصهای از نتایج مقاله را در ابتدای مقاله و قبل از مقدمه، بنویسید.
پس از نوشتن مقاله، مجلهای معتبر را انتخاب میکنید و مقالهی خود را برای آن میفرستید. سردبیر مجله، مقالهی فرستادهشده را قبل از پذیرش و انتشار، برای بررسی به داورانی با زمینهی کاری مشابه میفرستد.
مراحل داوری مقالهی پژوهشی
سردبیر مجله در نخستین مرحله، مقالهی فرستادهشده را از نظر فنی بررسی میکند. هر مجله قوانینی را برای ارزیابی مقالههای فرستادهشده در نظر گرفته است. به عنوان مثال، برخی مجلهها مقالههای تکستون و برخی دیگر مقالههای دوستونی را میپذیرند. همچنین، تصاویر مقاله باید از نظر حجم و کیفیت با پروتکلهای مجله همراستا باشند.
سردبیر مجله پس از تأیید اولیهی مقاله، آن را به گروهی از خبرهترین پژوهشگران برای داوری میفرستد. پژوهشگرانی که برای داوری مجله انتخاب شدهاند باید با پژوهش گزارششده در مقاله آشنایی کامل داشته باشند. این مرحله Peer Review نام دارد. استادان و دانشجویان به پژوهشگران انتخابشده برای بررسی مقالهی پژوهشی، داور میگویند. هر یک از داورها با پرسیدن پرسشهای متفاوت از نویسندگان دربارهی نتایج منتشر شده، کیفیت و درستی نتایج آنها را مورد بررسی قرار میدهند.
سردبیر مجله، سؤالات پرسیدهشده در مورد مقاله را به نویسندگان میفرستد و تا زمان مشخصی مهلت میدهد تا به پرسشها پاسخ دهند. نویسندگان با بررسی سؤالات به آنها در مدت زمان تعیین شده پاسخ میدهند. سپس، سردبیر مجله پاسخهای دریافتشده را برای بررسی به داورها میفرستد. داورها پس از بررسی پاسخها ممکن است:
- مقاله را برای انتشار در مجله بپذیرند.
- مقاله را به دلیل دریافتنکردن پاسخ شفاف، رد کنند.
- برخی پاسخها برای آنها قانعکننده باشد، اما برخی پاسخها را برای توضیح بیشتر دوباره به نویسندگان ارسال کنند.
سردبیر پس از دریافت پاسخ نویسندگان، نظر داوران و بررسی دقیق، تصمیم نهایی را در رابطه با مقاله میگیرد. رد کردن مقالهها مسئلهای غیرعادی نیست. بیشتر مجلههای معتبر بینالمللی در انتخاب مقالهها بسیار سختگیر هستند. برخی مجلهها بیش از ۹۰ درصد مقالههای دریافتی را رد میکنند. مدت زمان ارسال مقاله تا انتشار آن در مجله ممکن است ماهها و حتی بیش از یک سال طول بکشد.
در ابتدای مطلب دیدیم مقاله حتی پس از پذیرش و انتشار در مجله میتواند به دلیل تقلب و دادهسازی، از مجله حذف شود. در ادامه، در مورد حذف مقاله یا Retraction صحبت میکنیم.
چرا مقالهای پس از انتشار از مجله حذف میشود؟
گاهی پژوهشگران با رعایت کامل اخلاق علمی، مقالهای را منتشر میکنند، اما مدتی بعد متوجه میشوند قسمتی از نتایج منتشرشده اشتباه است. بنابراین، از سردبیر مجله میخواهند مقالهی آنها را از مجله حذف کند. احتمال رخ دادن این مورد بسیار کم است. در بیشتر مواقع نویسندگان با تغییر دادهها یا دادهسازی و تغییر نتایج بهدست آمده، سرقت ادبی و ارسال همزمان مقاله به چند مجله، مقالهی خود را منتشر میکنند. اما این مورد از نگاه تیزبین پژوهشگران دیگر پنهان نمیماند. بنابراین، مقالهی مورد نظر، مانند مقالهی عسل ایرانی، از مجله حذف میشود.
بین این دو حالت تفاوت بسیاری وجود دارد. جامعهی علمی و دانشگاهی نویسندهای را که صادقانه به اشتباه خود اعتراف میکند، میبخشد، اما نویسندهای را که با تقلب و دادهسازی مقالهی خود را منتشر میکند، به سختی فراموش میکند. عمل نویسندهی دوم نهتنها سابقهی علمی او را زیر سوال میبرد، بلکه ممکن است تاثیر منفی بر مقالههای ارسالشده از دانشگاه و کشور محل اقامت او داشته باشد.
در گزارشی تحقیقاتی در سال ۲۰۱۲، ۲۰۴۷ مقالهی علمی حذفشده در حوزههای پزشکی و زیستشناسی از سال ۱۹۷۷ تا سال ۲۰۱۲ مورد بررسی قرار گرفتند. نتیجهی این گزارش در نوع خود تاملبرانگیز است. چهار دلیل اصلی برای پس گرفتن یا حذف این مقالهها عبارتاند از:
- تقلب یا مشکوک به تقلب (دادهسازی): ۴۳ درصد از این مقالهها به دلیل تقلب یا احتمال تقلب حدف شدند.
- انتشار همزمان در چند مجله: ۱۴ درصد از این مقالهها به دلیل انتشار در چند مجله به طور همزمان حذف شدند.
- سرقت علمی: ۱۰ درصد از این مقالهها به دلیل سرقت علمی حذف شدند. یعنی نویسندگان بدون ذکر منبع، بخشی از مقاله یا کل آن را از منبع دیگری کپی کردند.
- خطا: ۲۱ درصد از این مقالهها به دلیل خطا در پژوهش حذف شدند.
آماری نگرانکننده
انتشار هزاران مقالهی علمی جعلی در مجلات علمی به پدیدهای رایج و نگرانکننده تبدیل شده است. این موضوع زنگ خطری برای جامعهی علمی به حساب میآید و عادی شدن آن پیشرفت علم در تمام زمینهها را به خطر میاندازد. برای نخستین بار در سال ۲۰۲۳، تعداد مقالات جعلی حذف شده از مجلات از مرز ۱۰ هزار گذشت. اما موضوع نگرانکنندهتر آن است که به احتمال بسیار زیاد، تعداد مقالههای جعلی بسیار بیشتر از آمارهای اعلام شده است.
ریشهی افزایش بیرویهی مقالههای علمی جعلی به چین برمیگردد. در کشور چین، استادان جوان و فارغالتحصیلان مقطع دکتری برای ارتقا باید سالانه تعداد مشخصی مقاله منتشر کنند. به این دلیل، تعداد زیادی سازمانهای زیرزمینی در چین تشکیل شدهاند که با دادهسازی، مقالههای جعلی میسازند و آنها را به افراد متقاضی با قیمت بالایی میفروشند.
ریشهی افزایش بیرویهی مقالههای علمی جعلی به چین برمیگردد
در ایران نیز رویهی مشابهی وجود دارد. بسیاری از استادان برای ارتقا از استادیاری به دانشیاری و استادتمام، باید هر سال تعداد مشخصی مقاله منتشر کنند. این مورد برای دانشجویان دکتری و حتی کارشناسی ارشد نیز صدق میکند. بیشتر آنها برای گرفتن نمرهی کامل به هنگام دفاع باید از کار پژوهشی خود مقاله منتشر کرده باشند. در نتیجه، بسیاری از افراد سودجو از این موقعیت استفاده کردهاند و با تأسیس مؤسسههای مختلف، از دانشجویان میخواهند نوشتن مقالههای خود را به آنها بسپارند.
توجه به این نکته مهم است که سردبیران مجلات علمی و داوران نیز در این زمینه مقصرند، زیرا سردبیران نقش خود را بهدرستی ایفا نمیکنند و داوران نیز آنگونه که باید صحت نتایج ارائهشده را از نظر علمی بررسی نمیکنند. تصویر زیر تعداد مقالههای علوم اعصاب و پزشکی را که مشکوک به تقلب یا داهسازی هستند، از سال ۲۰۱۰ تا ۲۰۲۲ مقایسه میکند.

عکاس: science.org
این نمودار سه دسته مقاله را با یکدیگر مقایسه میکند:
- نمودارهای میلهای زرد: تعداد مقالاتی را نشان میدهد که با احتمال بسیار بالایی جعلی هستند.
- نمودارهای میلهای آبی: تعداد مقالاتی را نشان میدهد که با احتمال کمتری جعلی هستند.
- نمودارهای میلهای خاکستری: تعداد مقالات معتبر را نشان میدهند.
همانطور که در تصویر بالا مشاهده میکنید، تعداد مقالههای جعلی حوزهی علوم اعصاب و پزشکی، از سال ۲۰۱۰ تا ۲۰۲۲ به طور چشمگیری افزایش یافته است.
اما بیشترین تعداد مقالههای حذفشده به دلیل دادهسازی و تقلب مربوط به کدام کشور است و ایران در چه جایگاهی قرار گرفته؟ گروهی از پژوهشگران دانشگاههای شهید بهشتی تهران، همدان، زاهدان و بقیهالله پژوهشی را در این رابطه در سال ۱۴۰۰ انجام دادند. آنها در این پژوهش تعداد مقالههای علمی ایرانی پس گرفتهشده بین سالهای ۲۰۰۸ تا ۲۰۱۷ میلادی را بررسی کردند. نتایج تحقیق، بسیار تأملبرانگیز بود.
در بازهی زمانی انتخابشده، ۵۴۵ مقالهی علمی ایرانی از مجلههای بینالمللی حذف شده بودند. نکتهی جالب توجه آن است که تعداد مقالههای حذف شده بین سالهای ۲۰۱۳ تا ۲۰۱۷ بیشتر از این تعداد بین سالهای ۲۰۰۸ تا ۲۰۱۲ بود. اگرچه کمتر از یک درصد (۰٫۸۲ درصد) از کل مقالههای منتشرشده، حذف شده بودند، این نسبت از میانگین جهانی بالاتر بود. همچنین، تعداد مقالههای ایرانی حذفشده از مجلههای بینالمللی با گذشت زمان بیشتر میشود.
در پژوهشی منتشر شده در سال ۲۰۱۹، آمار مقالات پسگرفتهشده از ایران بین سالهای ۲۰۰۸ تا ۲۰۱۷ بسیار نگرانکننده است و جایگاه اول را بهخود اختصاص داده؛ طبق این گزارش، از هر صدهزار مقاله، ۱۱۳٫۶ مقاله از ایران پسگرفته شده است؛ درحالیکه چین در رتبهی دوم، اختلاف زیادی با ایران دارد.
| کشور |
تعداد کل مقالهها |
تعداد مقالات پس گرفته شده از هر ۱۰۰ هزار مقاله |
|---|---|---|
| چین |
۲۲۵۴۱۶۸ |
۵۴٫۱ |
| آمریکا |
۴۷۸۰۴۸۵ |
۱۸٫۳ |
| ایران |
۲۶۳۳۱۶ |
۱۱۳٫۶ |
| هند |
۵۸۸۴۷۲ |
۴۶٫۲ |
| ژاپن |
۹۵۱۵۰۵ |
۲۱٫۵ |
| کرهی جنوبی |
۵۵۶۳۱۴ |
۲۸٫۹ |
| آلمان |
۱۱۸۴۱۹۶ |
۱۲٫۷ |
| انگلیس |
۱۱۱۰۴۴۵ |
۱۲٫۷ |
| ایتالیا |
۷۴۶۸۴۶ |
۱۸٫۲ |
| فرانسه |
۸۲۱۵۵۰ |
۱۱٫۹ |
طبق گزارش مجلهی علمی Nature در آذر ۱۴۰۲، ایران از نظر تعداد مقالههای حذفشده به دلیل تقلب یا سرقت علمی در رتبهی هفتم جهان و پس از کشورهای عربستان، پاکستان، روسیه، چین، مصر و مالزی، قرار دارد.
بهطور متوسط به ازای هر ۱۰ هزار مقالهی علمی منتشرشده از ایران، ۱۶٫۷ مقاله از مجلههای بینالمللی حذف میشوند. جالب است بدانید بین سالهای ۱۳۹۸ تا ۱۴۰۱، بیش از نیمی از پایاننامههای نوشتهشده، تقلبی اعلام شدهاند. جدول زیر ۱۰ دانشگاه در ایران با بیشترین تعداد مقالههای حذفشده تا سال ۲۰۱۹ میلادی را نشان میدهد. بخش قابل توجهی از مقالات پس گرفتهشده به حوزهی علوم زیستی و پزشکی مربوط است.
| نام دانشگاه |
تعداد کل مقالهها |
تعداد مقالههای پس گرفته شده |
|---|---|---|
| دانشگاه آزاد اسلامی |
۷۸۷۸۹ |
۱۸۲ |
| دانشگاه تهران |
۵۶۴۲۱ |
۴۹ |
| دانشگاه علوم پزشکی بقیةالله |
۶۰۸۰ |
۲۹ |
| دانشگاه علوم پزشکی ارتش (آجا) |
۱۲۳۰ |
۲۵ |
| دانشگاه علوم پزشکی تهران |
۴۹۳۴۶ |
۲۲ |
| دانشگاه ایلام |
۱۷۴۹ |
۱۵ |
| دانشگاه علوم پزشکی کردستان |
۲۰۷۲ |
۱۵ |
| دانشگاه ارومیه |
۷۲۹۷ |
۱۳ |
| دانشگاه علوم پزشکی شهید بهشتی |
۲۵۸۰۸ |
۱۳ |
| دانشگاه فردوسی مشهد |
۱۷۸۰۹ |
۱۲ |
دانشگاههای ایران با بیشترین تعداد مقالهی حذفشده از مجلههای بینالمللی
دانشگاهها در جدول بالا برحسب تعداد مقالات پسگرفتهشده مرتب شدهاند. اگر بخواهیم برحسب درصد مقالههای حذف یا پسگرفتهشده نگاه کنیم، دانشگاه علوم پزشکی آجا با حدود ۲ درصد، بیشترین سهم مقالات پس گرفتهشده را در بین دانشگاههای ایران دارد.
این آمار چه پیامی برای ما دارد؟ آیا این معضل، زنگ خطری برای آیندهی علم در ایران است یا میتوان آن را به فرصتی برای بازنگری و اصلاح ساختارها تبدیل کرد؟ شاید بتوان با تقویت آموزش اخلاق پژوهشی در دانشگاهها، ایجاد نظامهای کارآمد برای شناسایی و برخورد با تقلب علمی، حمایت از پژوهشگران صادق و پرتلاش و ارتقای فرهنگ علمی در جامعه گامی در بازنگری نظام آموزشی، پژوهشی و اخلاقی در کشور برداشت.
۲۲۷۲۲۷







نظر شما