نگارعلی_ با استفاده از MRI با وضوح فوق العاده بالا، محققان دریافتند که فضاهای اطراف عروقی - فضاهای پر از مایع در اطراف رگ های خونی مغز - در بیمارانی که هم میگرن مزمن و هم اپیزودیک را تجربه می کنند، به طور غیرعادی بزرگ می شود.
اگرچه ارتباط یا نقش آنها با میگرن هنوز مشخص نشده است اما این یافته میتواند یک مسیر هنوز کشف نشده برای تحقیقات آینده باشد.
این کشف در صد و هشتمین مجمع علمی و نشست سالانه انجمن رادیولوژی آمریکای شمالی ارائه شد.
دانشمند پزشکی ویلسون ژو از دانشگاه کالیفرنیای جنوبی در لس آنجلس می گوید: در افراد مبتلا به میگرن مزمن و میگرن اپیزودیکه، تغییرات قابل توجهی در فضاهای اطراف عروقی ناحیه ای از مغز به نام centrum semiovale وجود دارد.
گفتنی است که این تغییرات قبلاً هرگز گزارش نشده بود.
میگرن، جهنمی برای زندگی کردن است. اگرچه جنبه دردناک سردرد آن به خوبی شناخته شده است، میگرن همچنین می تواند باعث سرگیجه، اختلال بینایی (معروف به هاله)، حساسیت به نور و حالت تهوع تا حد استفراغ شود. ناشناخته است که چه چیزی باعث میگرن می شود، هیچ درمانی وجود ندارد، و در بسیاری از موارد، این وضعیت به درمان پاسخ نمی دهد.
این وضعیت حدود ۱۰ درصد از جمعیت جهان را تحت تاثیر قرار می دهد. بنابراین یافتن دلیل و استراتژی های مدیریتی موثرتر زندگی میلیون ها نفر را بهبود می بخشد.
زو و همکارانش در مورد فضاهای دور عروقی در مرکز نیمه اوال، ناحیه مرکزی ماده سفید مغز دقیقا زیر قشر مغز کنجکاو بودند. عملکرد این فضاها به طور کامل درک نشده است. آنها در تخلیه حرکت سیال نقش دارند و بزرگ شدن آنها می تواند نشانه ای از یک مشکل بزرگتر باشد.
زو می گوید: "فضاهای اطراف عروقی بخشی از سیستم پاکسازی مایع در مغز هستند." "مطالعه چگونگی کمک آنها به میگرن می تواند به ما در درک بهتر پیچیدگی های چگونگی بروز میگرن کمک کند."

او و همکارانش ۲۰ بیمار بین ۲۵ تا ۶۰ سال مبتلا به میگرن را انتخاب کردند: ۱۰ بیمار میگرن مزمن بدون اورا و ۱۰ نفر که میگرن اپیزودیک را تجربه کردند. علاوه بر این، ۵ بیمار سالم که میگرن را تجربه نکرده بودند به عنوان گروه کنترل قرار گرفتند.
این تیم بیماران مبتلا به اختلال شناختی، کلاستروفوبیا، تومور مغزی یا افرادی که قبلاً جراحی مغز داشته اند را رد کردند. سپس، آنها اسکن MRI را با استفاده از یک MRI با میدان فوق العاده بالا با آهنربای ۷ تسلا انجام دادند. اکثر اسکنرهای بیمارستانی فقط دارای آهنربا تا ۳ تسلا هستند.
زو توضیح میدهد: «طبق دانش ما، این اولین مطالعهای است که از MRI با وضوح فوقالعاده بالا برای مطالعه تغییرات میکروواسکولار در مغز ناشی از میگرن، بهویژه در فضاهای اطراف عروقی استفاده میکند.
از آنجایی که MRI ۷T قادر است تصاویری از مغز را با وضوح بسیار بالاتر و کیفیت بهتر نسبت به سایر انواع MRI ایجاد کند، می توان از آن برای نشان دادن تغییرات بسیار کوچکتری که در بافت مغز پس از میگرن رخ می دهد استفاده کرد.
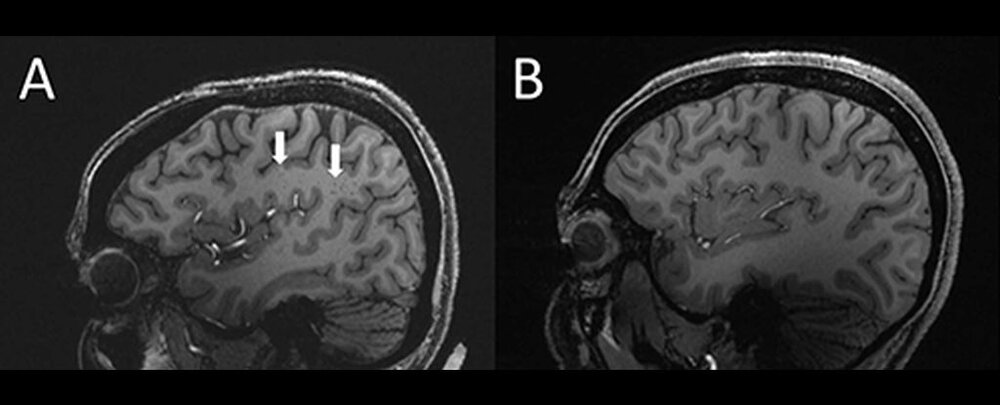
اسکن ها نشان داد که فضاهای اطراف عروق در مرکز نیمه اوال بیماران مبتلا به میگرن در مقایسه با گروه کنترل به طور قابل توجهی بزرگ شده است.
محققان همچنین تفاوتی را در توزیع نوعی ضایعه به نام افزایش شدت ماده سفید در بیماران میگرنی دریافتند. اینها به دلیل تکه های کوچک بافت مرده یا نیمه مرده ایجاد می شوند که به دلیل کاهش جریان خون گرسنگی می کشند و کاملا طبیعی هستند.
از نظر فراوانی این ضایعات بین بیماران میگرنی و گروه کنترل تفاوتی وجود نداشت، اما شدت ضایعات عمیق در مبتلایان به میگرن بیشتر بود.
محققان بر این باورند که این نشان می دهد که بزرگ شدن فضاهای اطراف عروقی می تواند منجر به ایجاد ضایعات بیشتر ماده سفید در آینده شود.
اگرچه ماهیت ارتباط بین فضاهای اطراف عروقی بزرگ و میگرن نامشخص است، نتایج نشان میدهد که میگرن با مشکلی در لولهکشی مغز همراه است، سیستم گلیمفاتیکی که مسئول پاکسازی مواد زائد در مغز و سیستم عصبی است. از کانال های اطراف عروقی برای حمل و نقل استفاده می کند.
برای کشف این همبستگی به کار بیشتری نیاز است، اما حتی شناسایی آن نیز امیدوارکننده است.
زو میگوید: «نتایج مطالعه ما میتواند به الهام بخشیدن به مطالعات آینده و در مقیاس بزرگتر برای ادامه بررسی اینکه چگونه تغییرات در عروق میکروسکوپی مغز و خون رسانی به بروز انواع مختلف میگرن میانجامد، کمک کند.»
در نهایت، این مطالعات می تواند به ما کمک کند تا راه های جدید و شخصی سازی شده ای برای تشخیص و درمان میگرن ایجاد کنیم.
۲۲۷۲۲۷






نظر شما